Look un poco Burgundy

Hola chicas:

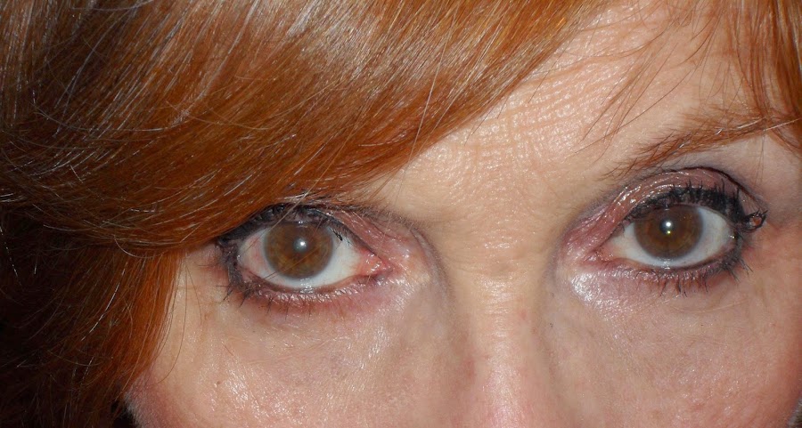
Quiero enseñaros este look con la sombra en crema Burgundy que me parece preciosa y que es muy combinable con otras.

Estos son los productos que utilicé para el look.



En la cara llevo la base Photofinish de Catrice en el tono 20, el corrector de Mac Studio Finish Concealed NW20, he puesto para dar un aspecto bronceado el Soleil Tan de Chanel y el colorete de WetNWild "Heather Silk".

En los ojos llevo la sombra en crema de Maybeline "Metalic Promegranate", he utilizado la paleta de neutros de Douglas, y he usado la sombra número 3 para marcar la cuenca con la 2 he difuminado y con la 1 iluminado, a ras de pestañas he intensificado con la somhra 5 de la paleta, encima de la sombra de Maybelline he puesto un toque de la sombra "Sparkle" de Bobbi Brown en el tono Taupe que le va bien a cualquier color y también queda estupenda sola, he delineado con el gel liner negro de Kryolan, en la waterline llevo el lápiz negro de H&M en el párpado inferior también he puesto la sombra Pomegranate, encima un poco de la sombra 5 de la paleta y un poco de gel liner negro y lo he difuminado todo con la sombra 3 de la paleta y como máscara "The Colosal Go Extreme" de Maybelline, el labial Rebel de Mac.








¿Qué os parecido? 
Chicas: 
  Participo con mi blog en los Premios 20 Minutos si quereis ayudarme con vuestro voto a través del siguiente enlace

http://lablogoteca.20minutos.es/busqueda/lablogoteca/Cuando+te+sigue+gustando+el+maquillaje+a+los+50/

Y también con mi página de Instagram

http://lablogoteca.20minutos.es/busqueda/lablogoteca/Ginger1957/

Por si os apetece votarme
Fuente: este post proviene de este blog, donde puedes consultar el contenido original.
¿Vulnera este post tus derechos? Pincha aquí.
Creado:
¿Qué te ha parecido esta idea?

Esta idea proviene de:

Y estas son sus últimas ideas publicadas:

Hola chicas: Ya sabéis que el naranja es uno de los colores que más me gusta para los labios para el verano, creo que da un aire muy fresco y siempre me ha gustado, fuera tendencia o no; o al menos si ...

Hola chicas: Con la llegada del verano solemos, al menos yo, hacernos maquillajes más sencillos, a mi me gusta utilizar delineadores en colores más llamativos, a juego con la ropa, especialmente en ve ...

Hola chicas: No soy especialmente fan de esta firma... pero tiene unas cosas que me encantan, son las relacionadas con su línea "Karma". Este olor es una mezcla entre otras cosas de naranjas ...

Hola chicas: Quiero enseñaros el look de hoy que como indica el nombre es en este tonos que tanto me gustan y que tan favorecedor encuentro. Vamos a ver los productos que he usado. Antes de la base h ...

Recomendamos

Relacionado

general bobbi brown chanel ...

Hola chicas: Quiero enseñaros este look donde el protagonista es el pigmento 11 de Kiko, que os enseñé en el último post, un tono marrón topo, similar a la sombra Satin Taupe pero más claro, es un look muy sencillo pero en mi opinión también muy resultón. Estos son los productos que he utilizado. En la cara la base de maquillaje Extra Repair de Bobbi Brown, el corrector Studio Finish Concealed N ...

maquillaje

Holaaaaa! En esta ocasión os traigo un maquillaje realizado con la última paleta que he comprado. Se trata de la eye graphic 4 colors palette de la marca Sephora. La conseguí en rebajas y me salió por unos 5,60 â?¬, aun que creo que su precio real era de unos 20 â?¬ o así. Es una paleta de preciosa con sombras muy pigmentadas y super sedosas, nada tizosas. La verdad es que no se si aún se puede co ...

general christmas look light burgundy ...

Durante el Black Friday hice un pequeño pedido a Beka Makeup, ¿te pasas a verlo? Click aquí Hola guapas! Hoy vengo con una propuesta de look para estas fiestas, en concreto es el que llevaré para Nochebuena, dándole luminosidad a los ojos y protagonismo a los labios con un labial borgoña. He intentado hacer un paso a paso, y digo intentado porque se ve que esto no es lo mío, se me olvida la mitad ...

general bell bobbi brown ...

Hola chicas: Quiero enseñaros este look donde la protagonista es la sombra "Galáctica" de Make Up Revolution que ya os dije que me parecía preciosa y que os enseñé en el último post, así que lo mejor es verla en acción, es un look sencillo pero yo encuentro muy bonito. Estos son los productos que he utilicé para el look. En la cara llevo la base de maquilaje Extra Repair de Bobbi Brown, ...

general ainhoa cosmetics bioderma ...

Hola chicas: Hace tiempo que os enseñé esta paletita de Mua en este post que muchas de vosotras tenéis y que tiene unos colores muy bonitos, pero no os había enseñado ningún look con ella, así que aquí va el primero y éstos son los productos que utilicé para el look. En la cara llevo la BB cream de Bioderma, el corrector Studio Finish Concealed NW20 de Mac, un toque con los polvos bronceadores Na ...

general catrice chanel ...

Hola chicas: Quiero enseñaros otro look con la paleta "Look on the Films" pero en esta ocasión me lo hice para la noche, pero esto es una opción muy personal, lo que a mi me puede parecer recargado para el día o para ir a trabajar a otra persona le puede parecer estupendo. Estos son los productos que utilicé. En la cara llevo la base de maquillaje "Time Wise" de Mary Kay &quo ...

general catrice chanel ...

Hola chicas: Ya lo estaréis adivinando!!!! Como os dije en el post anterior, hoy os quiero enseñar el primer look con el labial "Pure Red Julianne" de Loreal que como os dije me parece precioso, mate, no reseca en absoluto y muy cómodo de llevar para cualquier momento del día a pesar de su llamativo color. Éstos son los productos que utilicé. Como veis quise hacer un look de ojos neutro ...

general catrice chanel ...

Hola chicas: En el último post os enseñé la paletita de la colección que sacó Kiko y que me parece preciosa, hoy os voy a enseñar un look con ella. Estos son los productos que utilicé. En la cara llevo la base Photofinish de Catrice tono número 20, como corrector he usado Instant Concealed número 1 de Clarins, he aplicado el Soleil Tan de Chanel y como colorete el Deliziose Pink de Milani. En los ...

general colour shock longlasting eye shadow compras ...

Hola chicas: En este post os voy a enseñar cositas de Kiko que se me van quedando atrasadas. Son de dos días distintos La primera visita, salí con estas cosas: -Glow Touch Lips and Cheks, número 104, con este producto de colección con el que repito, el tono es marrón rosado, al principio creí que era más apropiado para labios pero a pesar de su tono queda muy bonito en labios y mejillas. Su preci ...

general bobbi brown guerlain ...

Hola chicas: El color melocotón creo que da a los ojos un aire muy cálido que me gusta mucho y es el que usado para este look. Estos son los productos que he utilizado. En la cara llevo la base hidratante de Bobbi Brown en el color Natural Tan, el corrector Studio Finish Concealed NW20 de Mac, he matizado con los polvos Mosaico Iluminadores Couvrance de Avene, he dado un toque de los polvos bronc ...