Look Pigmento 11

Hola chicas:

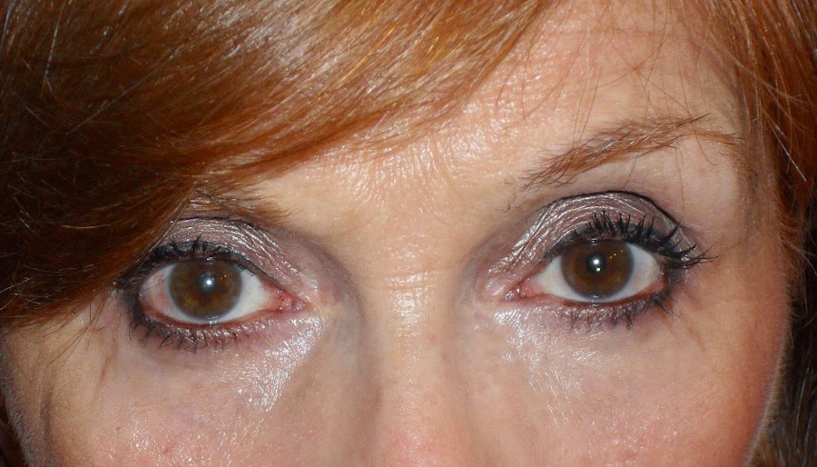
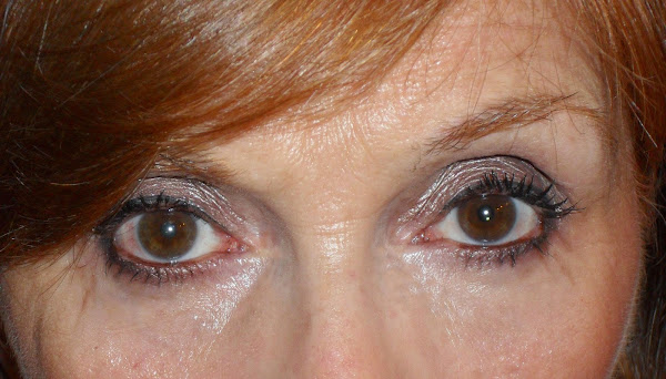
Quiero enseñaros este look donde el protagonista es el pigmento 11 de Kiko, que os enseñé en el último post, un tono marrón topo, similar a la sombra Satin Taupe pero más claro, es un look muy sencillo pero en mi opinión también muy resultón.

Estos son los productos que he utilizado.



 En la cara la base de maquillaje Extra Repair de Bobbi Brown, el corrector Studio Finish Concealed NW20 de Mac, he dado color con Soleil Tan de Chanel, el colorete Dazzling Peach de Mac.

En los ojos he unificado el párpado con el paintpot Painterly de Mac, con la paleta Naked Basics (fake) y su color Naked 2 lo he utilizado para marcar la cuenca, el W.O.S. para difuminar los cortes y el tono Venus para iluminar, he puesto el pigmento 11 en el párpado móvil, he delineado con el gel liner Caviar Ink de Bobbi Brown, abajo también he utilizado el mismo y lo he difuminado y en la waterline he usado el Colour Rich Le Kajal de Maybelline en marrón, la máscara de pestañas The Colosal Go Extreme de Maybelline, en los labios el gloss 157 de Hean.









¿Qué os parece?
Chicas: 
  Participo con mi blog en los Premios 20 Minutos si quereis ayudarme con vuestro voto a través del siguiente enlace

http://lablogoteca.20minutos.es/busqueda/lablogoteca/Cuando+te+sigue+gustando+el+maquillaje+a+los+50/

Y también con mi página de Instagram

http://lablogoteca.20minutos.es/busqueda/lablogoteca/Ginger1957/

Por si os apetece votarme

Fuente: este post proviene de este blog, donde puedes consultar el contenido original.
¿Vulnera este post tus derechos? Pincha aquí.
Creado:
¿Qué te ha parecido esta idea?

Esta idea proviene de:

Y estas son sus últimas ideas publicadas:

Hola chicas: Ya sabéis que el naranja es uno de los colores que más me gusta para los labios para el verano, creo que da un aire muy fresco y siempre me ha gustado, fuera tendencia o no; o al menos si ...

Hola chicas: Con la llegada del verano solemos, al menos yo, hacernos maquillajes más sencillos, a mi me gusta utilizar delineadores en colores más llamativos, a juego con la ropa, especialmente en ve ...

Hola chicas: No soy especialmente fan de esta firma... pero tiene unas cosas que me encantan, son las relacionadas con su línea "Karma". Este olor es una mezcla entre otras cosas de naranjas ...

Hola chicas: Quiero enseñaros el look de hoy que como indica el nombre es en este tonos que tanto me gustan y que tan favorecedor encuentro. Vamos a ver los productos que he usado. Antes de la base h ...

Recomendamos

Relacionado

general catrice chanel ...

Hola chicas: Quiero enseñaros este look con la sombra en crema Burgundy que me parece preciosa y que es muy combinable con otras. Estos son los productos que utilicé para el look. En la cara llevo la base Photofinish de Catrice en el tono 20, el corrector de Mac Studio Finish Concealed NW20, he puesto para dar un aspecto bronceado el Soleil Tan de Chanel y el colorete de WetNWild "Heather Sil ...

maquillaje bell delineado ...

Hoooola a todos!!! ¿Que tal? Bueno ya sabeis que ya si que si empezamos más en serio con el blog y en esta ocasión os traigo un look muy luminoso con un pigmento que me encanta, si quereis saber más...QUEDAOS!! Bueno como ya comentaba el pigmento que voy a usar es el VANILLA un tono precioso y un MULTIUSOS porque sirve para todo....iluminador, para mezclas con la base...queda precioso. Se utiliza ...

general bell bobby brown ...

Hola chicas: Otra de las cosas respecto a maquillaje que me gusta cada vez más son los pigmentos. En el look de hoy he utilizado uno de Kiko que es el único que tengo de esta marca. Estos son los productos que utilicé para el look. Y así es como lo hice, llevo la base de maquilla Illumi de Bell, número 2, el corrector Studio Finish Concealed de Mac NW20, un toque de Terracota Light de Guerlain y ...

general 1seconde ahumados ...

Buenas de nuevo!!! He estado un poco ausente estas semanas, pero es que no me salen las cuentas... o las horas pasan muy rápido. Seguro que sabéis a lo que refiero? Asique una entrada rápida para toda esa gente que no tiene tiempo pa na!!! Espero que os guste Como ya sabréis, el pigmento 85 de Inglot es un color duocromo que se ve marrón o verde según le incida la luz, con el que puedes consegui ...

general douglas guerlain ...

Hola chicas: Creo que con los longlasting y sombras en crema y el uso de pigmentos podemos hacer looks bastante rápidos y que a la vez quedan muy bonitos, así que os voy a enseñar uno de estos looks que me gustan y utilizo mucho. Estos son los productos que utilicé. En la cara llevo la base de maquillaje "Super Stay Better Skin" de Maybelline en el tono Nude, llevo el corrector Studio F ...

maquillaje delienado doble essence ...

Hola chicas!! ¿Que tal habéis pasado esta nochebuena y Navidad? Espero que genial y que Papá Noel os haya llenado de regalitos! Hoy traigo otro maquillaje un poco especial, ¿Os quedáis a verlo? Bueno el maquillaje de hoy es bastante sencillo a la par que bastante difícil para algunas de vosotras pero queda taaan bonito y elegante que lo deberíais de poner en práctica porque es acierto seguro! ...

general colour shock longlasting eye shadow compras ...

Hola chicas: En este post os voy a enseñar cositas de Kiko que se me van quedando atrasadas. Son de dos días distintos La primera visita, salí con estas cosas: -Glow Touch Lips and Cheks, número 104, con este producto de colección con el que repito, el tono es marrón rosado, al principio creí que era más apropiado para labios pero a pesar de su tono queda muy bonito en labios y mejillas. Su preci ...

general bobbi brown flormar ...

Hola chicas: Las sombras Colour Shock de Kiko me gustan mucho; una por su duración que permanecen inalterables, al menos a mí y otra razón por su colorido, desde Kiko nos dicen que se pueden usar también para delinear, también hay quien las utiliza como prebase para otras sombras pero a mi me gustan utilizarlas como sombras en sí, tanto solas como combinadas con otras, como es en el caso de este l ...

general benefits bobbi brown ...

Hola chicas: En su momento me gustaron mucho las sombras en crema cuando empecé a maquillarme, estuvieron mucho tiempo desterradas y hace un par de años resurgieron con fuerza, espero que para quedarse, las sombras en crema sirven perfectamente como sombra base para potenciar otras, para look rápidos y para combinarlas, yo la primera es la opción que menos utilizo, la segunda la que más y la terce ...

maquillaje bobbi brown catrice ...

Hola!! Hace mucho que no dejaba un look por aqui, y hoy me apetecia hacerlo.Productos utilizados, por pasos 1. Aunque no salga en la foto, los productos de cuidado de la piel que utilizo son: Limpiadora 3 en 1 Timewise de Mary Kay, Serum antiedad con hibiscus de Plante System e Hidratante Timewise de Mary Kay. 2. Prebase para rostro Strobe Cream de Mac y Shadow insurance de Too Faced para ojos 3 ...